Cette étude en neuro-imagerie de l’Université de l’Indiana montre que la dépendance aux drogues ou à l’alcool réduit la perception des messages négatifs qui vont mettre en avant les risques de ces substances. Ces données publiées dans l’édition de novembre de la revue Psychology of Addictive Behaviors ont d’évidentes conséquences sur les types de messages en santé publique pour prévenir les abus de drogues et d’alcool ou dissuader des comportements à risque.
Ces chercheurs de l’Université d’Indiana et de la Wayne State University expliquent que la plupart des messages en santé publique expliquent que les drogues sont mauvaises pour le cerveau, or ces messages négatifs n’ont pas le même impact, voire pas d’impact, sur les usagers de drogues. En utilisant des techniques de neuro-imagerie, les chercheurs ont examiné l’impact de différents messages sur le cerveau de personnes dépendantes et de personnes non dépendantes. Ils ont regardé les spécificités de structure du cerveau et des circuits de signalisation pour voir si le problème se situait sur la relation entre l’activité du cerveau et le comportement ou sur l’impact du message sur le cerveau. En effet, le cerveau des usagers pourrait être tout aussi sensible au risque mais ne pas se traduire normalement en comportement. Ou encore percevoir différemment les messages.
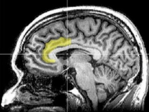
Les personnes dépendantes traitent les messages différemment : Dans cette étude, les participants ont pris part à un jeu virtuel, l’Iowa Gambling Task, souvent utilisé dans les études psychologiques sur la prise de décision. 4 jeux de cartes apparaissent sur un écran, et les participants sont informés qu’ils vont gagner ou perdre de l’argent en choisissant certains jeux. Les participants dépendants montrent moins d’activité cérébrale en réponse au message négatif qu’un type de jeu va les conduire à perdre. Les messages négatifs entraînent dans ce groupe des décisions beaucoup plus risquées. Les résultats suggèrent, pour les chercheurs, un niveau d’activité cérébrale dans les régions du cerveau qui permettent d’évaluer le risque bien plus faible chez les personnes dépendantes. Une région en particulier, le cortex cingulaire antérieur (Visuel IRM ci-contre), déjà impliquée dans une variété de troubles cliniques comme le TDAH, l’autisme, la schizophrénie et les troubles obsessionnels compulsif, est fortement impliquée par cette baisse d’activité. En fait, les 2 groupes traitent les messages différemment, notamment les messages qui soulignent une perte ou un risque. Cette ajoute aux données sur l’impact de différents types de messages sur les mécanismes neuronaux impliqués dans la prise de décisions risquées.
Alors que les politiques dépensent des budgets importants pour prévenir et lutter contre les drogues ou l’alcool, avec un grand nombre de publicités qui mettent en évidence leurs dangers, il faudrait mieux, ou aussi, selon les chercheurs communiquer autour des avantages de ne pas en prendre. Les chercheurs travaillent actuellement à valider des concepts plus positifs.
Source: Psychology of Addictive Behaviors Nov 12 , 2012 DOI: 10.1037/a0030633 Decisions During Negatively Framed Messages Yield Smaller Risk-Aversion-Related Brain Activation in Substance-Dependent Individuals (Visuel NIDA-NIH Credit: Geoff B. Hall/Wikimedia Commons)
